تقدم إعادة تأهيل الفم بالكامل في تركيا حلاً طبياً مذهلاً لاستعادة صحة الأسنان بفاعلية واضحة. علاوة على ذلك، ينفذ أطباء الأسنان هذه الإجراءات بدقة عالية لتعويض الأسنان التالفة وإعادة التوازن الفموي تماماً.
بالتالي، يساعدك هذا التدخل الطبي المتقدم على استعادة ثقتك المفقودة بنفسك بشكل دائم ومستقر. كذلك، يطلق الخبراء طبياً على هذا العلاج الشامل اسم الاستعاضة السنية في المصطلحات الطبية الدقيقة.
من ناحية أخرى، يزور آلاف المرضى الدوليين مدينة إسطنبول سنوياً لتحقيق هذه النتائج الجمالية والوظيفية الجذابة. بالإضافة إلى ذلك، يجمع هذا الخيار العلاجي بين الكفاءة الطبية العالية والتكلفة الاقتصادية الممتازة لجميع المهتمين بالمجال.
نتيجة لذلك، يحقق الأشخاص أهدافهم العلاجية المرجوة ويبدؤون حياة جديدة تماماً ومفعمة بالثقة القوية. أخيراً، سنستكشف في هذا الدليل الطبي الشامل كل التفاصيل الخاصة بمسار هذا الإجراء الرائع والحديث.
لماذا يختار الناس إعادة تأهيل الفم بالكامل في تركيا؟
يختار العديد من الأشخاص هذا الإجراء القوي للحصول على مظهر أكثر جاذبية بشكل طبيعي وجذاب جداً وملحوظ. لذلك، هم يرغبون بقوة في تعويض فراغات الفم المزعجة للحصول على ابتسامة ناعمة وأنيقة ومكتملة.
بالإضافة إلى ذلك، تفشل الحشوات التجميلية البسيطة غالباً في علاج المشاكل المعقدة بشكل مستهدف وفعال تماماً. بناءً على ذلك، يقدم التدخل الطبي دفعة قوية وضرورية لتغيير مظهرك الخارجي بالكامل وإبراز نضارتك الدفينة.
من الناحية العملية، يعالج الإجراء الطبي مشكلة صعوبة مضغ الطعام أو ضعف النطق بفاعلية قصوى ومباشرة. بالتالي، تستعيد قدرتك الوظيفية المتناسقة بسهولة شديدة بفضل تقنيات التركيب المتطورة طبياً داخل العيادات المتخصصة.
من ناحية أخرى، تعالج هذه الخطوة حالات كسر وضعف المينا المرتبطة بالتسوس العميق بفاعلية وأمان لتجنب المضاعفات. نتيجة لذلك، يحسن التدخل الطبي مظهر الثلث السفلي للوجه ويزيد من راحتك النفسية بشكل جذري وملحوظ جداً.
التأثير النفسي العميق للحصول على ابتسامة مكتملة
يترك الفم الفاقد للأسنان آثاراً نفسية مزعجة على ثقة الإنسان بنفسه وعلى أناقته اليومية بشكل واسع. بالمقابل، يتجنب العديد من الأشخاص التقاط الصور المبتسمة أو حضور المناسبات بسبب خجلهم الدائم من مظهرهم المنهك.
لذلك، يمنحك الحصول على أسنان ثابتة وقوية شعوراً رائعاً بالحرية والانطلاق في الحياة بثقة عالية ونشاط. علاوة على ذلك، يلاحظ المرضى تحسناً هائلاً في مستويات الرضا عن الذات فوراً بعد إجراء الترميم الطبي.
بالتالي، يشعرون برغبة عارمة في ممارسة نشاطاتهم وتناول طعامهم المفضل براحة تامة جداً ومطلقة وبدون قيود. نتيجة لذلك، يعتبر الأطباء هذه العملية استثماراً حقيقياً في صحة المريض النفسية وسعادته العاطفية طويلة الأمد.
الفرق بين الترميم الشامل والابتسامة التجميلية
يخلط العديد من المرضى بين العلاجات الشاملة المعقدة وبين تركيب القشور التجميلية المتقدمة جداً في المستشفيات. ومع ذلك، تختلف هذه الإجراءات الطبية تماماً من حيث الأهداف العلاجية والتقنيات المستخدمة للتنفيذ السليم.
لذلك، يجب عليك فهم هذه الفروق الجوهرية لاتخاذ القرار الطبي الأنسب لحالتك الجسدية بدقة متناهية. عملياً، تستهدف ابتسامة هوليوود إخفاء العيوب السطحية للأسنان الأمامية فقط بشكل عام وجمالي بحت.
بالتالي، يستخدم طبيب الأسنان القشور الخزفية الرقيقة دون القدرة على حماية العظم السفلي المتهالك إطلاقاً. بالمقابل، تركز العمليات الخاصة بالترميم الشامل على تعويض الأسنان المفقودة بالكامل بمهارة فنية عالية ومستدامة للأبد.
نتيجة لذلك، يعالج الطبيب جذور الأسنان التالفة ويرسم خطوطاً بوضوح تام لتثبيت الزرعات للمريض. هكذا، يحصل المريض على وظيفة مضغ قوية ويحافظ على مسافات الفك الطبيعية من الخلل المستمر.
أنواع التقنيات المستخدمة في العيادات السنية التركية
يعتمد الأطباء الماهرون على تقنيات حديثة ومتنوعة لتحقيق نتائج استثنائية في بناء الفك بدقة متناهية. بالتالي، يستخدم الطبيب طرقاً مختلفة تناسب درجة التلف والهدف الجمالي لكل مريض بأمان شديد.
علاوة على ذلك، تحافظ هذه التقنيات الرائعة على سلامة الأنسجة المحيطة والأعصاب وتمنع المضاعفات الشديدة تماماً. بناءً على ذلك، نوضح لك أبرز الأساليب الطبية المعتمدة حالياً في أفضل العيادات العالمية المتطورة.
المرحلة التأسيسية وصحة اللثة والعظم
أولاً، يمثل العلاج التأسيسي للثة الخيار الطبي الأساسي والأكثر أهمية على مستوى العالم اليوم بلا منازع يذكر. يعالج الجراح التهابات اللثة العميقة وينظف الجذور المتضررة على حدة لضمان نتيجة صحية جداً ومستقرة.
بالتالي، يتجنب الأطباء فقدان العظم المستقبلي تماماً، مما يمنع فشل الزرعات بشكل مفاجئ أو خطير. هذه الطريقة تضمن استمرارية النتائج الجمالية لعقود طويلة وتمنح المريض أساساً متيناً وصلباً بسرعة فائقة.
زراعة الجذور التيتانيومية الثابتة
ثانياً، يستهدف نظام زراعة الأسنان المرضى الذين يعانون من تكسر الأسنان الخلفية ويرغبون بنتيجة قوية جداً. يصمم الطبيب جذوراً معدنية استراتيجية فقط ليحمل عليها ضغط المضغ بالكامل بدقة متناهية وسرعة بالغة.
نتيجة لذلك، يتعافى المريض بسرعة أكبر بكثير ويتخلص من آلام المضغ المزعجة في غضون أشهر قليلة. توفر هذه التقنية حلاً مثالياً لمنع انكسار السن الشامل بفاعلية كبيرة ومستقرة للمريض المعالج لأنها دائمة.
التركيبات الخزفية وجماليات الأسنان
ثالثاً، يفضل بعض الأطباء استخدام التركيبات الخزفية الكاملة للحالات التي تتطلب قوة استثنائية وتجميلاً مثالياً. يبرد الطبيب السن التالف ويركب الغطاء الزيركوني بمهارة فائقة لتعويض الجزء المفقود بالكامل وبأمان تام.
علاوة على ذلك، يضمن هذا التدخل السريع التخلص من الفراغات المزعجة بشكل نهائي ومستقر للمريض تماماً. هكذا يحقق المريض تحولاً جذرياً وشاملاً يعيد له قدرة المضغ بقوة ووضوح ومظهر طبيعي.
التعديلات النهائية للإطباق وحركة الفك
رابعاً، ينفذ أطباء الأسنان تعديلات الإطباق النهائية لضمان راحة مفصل الفك وتجنب الصداع المستمر للمريض. يدرس الطبيب حركة الفكين بدقة متناهية لتوزيع قوى المضغ بشكل متساوٍ ومريح جداً للأعصاب.
بالتالي، يمنع هذا الإجراء الدقيق تكسر التركيبات الخزفية الجديدة بفاعلية مطلقة ويحمي استثمارك الطبي. يقوم الأخصائي بصقل الزوايا الحادة بمهارة لإنتاج ابتسامة عملية تعمل بانسيابية ودون مشاكل تذكر.
لماذا تتفوق المستشفيات التركية في هذا المجال الطبي؟
يقارن المرضى المهتمون بإجراء إعادة تأهيل الفم بالكامل في تركيا باستمرار بين الحلول الطبية في بلدانهم ومثيلاتها بالخارج. لذلك، يطرحون أسئلة مفصلة لفهم مستوى الرعاية الصحية المتاحة لاختيار الأفضل لمستقبلهم الجمالي والصحي بكل عناية.
بناءً على ذلك، يتمتع أطباء الأسنان الأتراك بخبرة عالمية واسعة جداً في مجال جراحة الفكين وتنسيق الملامح. علاوة على ذلك، أجرى هؤلاء الخبراء آلاف الإجراءات الناجحة التي تضمن تحقيق نتائج طبيعية تتوافق مع التوقعات.
بالمقابل، تتميز العيادات في إسطنبول بتجهيزاتها الحديثة واستخدامها لأفضل تقنيات التصميم والتصنيع بمساعدة الكمبيوتر المتطورة. بالتالي، تستخدم العيادات التقنيات الرقمية لتصميم التركيبات بدقة عالية وتسريع فترة العلاج بعد الجلسة بشكل مذهل وآمن.
متى تختار السفر لإجراء إعادة تأهيل الفم بالكامل في تركيا؟
يختار الأشخاص السفر الطبي عندما يمتلكون رغبة حقيقية في الحصول على جودة خدمة لا تضاهى أبداً وبتكلفة معقولة. تحديداً، تصبح إسطنبول وجهة مثالية لمن يبحث عن أسعار تنافسية للغاية مقارنة بالدول الأوروبية والأمريكية الباهظة.
بالإضافة إلى ذلك، يلجأ المرضى لهذا الخيار للحصول على رعاية فائقة ومتابعة مستمرة تسبق مناسباتهم الخاصة جداً. نتيجة لذلك، يحققون أهدافهم الجمالية بأمان تام وبدون تكبد أي تكاليف مادية باهظة أو مخفية إطلاقاً.
من ناحية أخرى، يضمن الأطباء تقديم تجربة علاجية آمنة ومريحة تجمع بين العلاج الطبي والسياحة معاً في باقة. هكذا، تساعد جودة الرعاية الطبية الفائقة المريض على التعافي السلس وضمان نتائج طويلة الأمد بنجاح باهر.
من هم المرشحون المثاليون لهذه العمليات الدقيقة؟
لضمان الحصول على أفضل النتائج، يحدد الأطباء بعض المعايير الطبية الصارمة جداً لجميع المرضى المتقدمين للعيادة. لذلك، سيقيم طبيبك في بيلا كلينيك حالتك الصحية بعناية فائقة لتحقيق أقصى درجات الأمان والفاعلية المرجوة.
إليك الشروط الطبية الرئيسية المعتمدة بنجاح كبير في مستشفياتنا المتقدمة اليوم لضمان سلامتك التامة والمطلقة:
- أولاً، يمثل الأشخاص الذين يمتلكون أسناناً متصدعة ومشاكل معقدة ويرغبون في حل دائم مرشحين مثاليين تماماً.
- ثانياً، تناسب الإجراءات البالغين الذين فقدوا عدداً كبيراً من الأسنان وليس لديهم حالات طبية تمنع العلاج.
- ثالثاً، يجب أن يمتلك المرشح التزاماً قوياً بنظافة الفم اليومية ويدرك أهمية المتابعة الدورية بانتظام.
- أخيراً، يبحث الأشخاص أصحاب التآكل الشديد والذين يمتلكون رغبة في استعادة مضغهم الطبيعي عن هذا التدخل الفعال.
موانع الخضوع للإجراءات الطبية الكبرى
تعالج العيادات المتقدمة المرضى بأمان، لكنها ترفض تنفيذ الإجراء لبعض الحالات الطبية المعقدة والخطيرة حفاظاً للسلامة العامة. بالمقابل، يستثني المتخصصون المرضى الذين يعانون من أمراض عظمية متقدمة جداً من هذه العملية بشكل قطعي وحازم.
بناءً على ذلك، يرفض الأطباء إجراء العملية للأشخاص الذين لا يملكون وقتاً كافياً للالتزام بجدول الزيارات العلاجية حالياً. كذلك، يتطلب الطبيب أيضاً استشارة دقيقة لمرضى السكري غير المنتظم لتجنب فشل الزرعات وضعف الالتئام باستمرار.
علاوة على ذلك، تمنع هذه الحالات إمكانية تحقيق نتائج آمنة تماماً داخل العيادات السنية المجهزة والحديثة. لذلك، ينصح الأطباء بتأجيل الجلسة أو اختيار بدائل أخرى لتجنب المضاعفات وتحقيق أمان أكبر وصحة أفضل.
الإعداد الطبي قبل إعادة تأهيل الفم بالكامل في تركيا
يضمن الإعداد الطبي السليم قبل السفر إجراءً علاجياً سلساً للغاية وناجحاً إلى أبعد الحدود الجمالية الممكنة. أولاً، يجب أن تخضع بجدية لتقييم دقيق لملامح وجهك وبنية أسنانك للتأكد من جاهزيتك الجسدية التامة.
بناءً على ذلك، يطلب الأخصائي الخبير بنشاط إجراء صور أشعة سينية وبانورامية وتقييم شامل للحالة الصحية بدقة. علاوة على ذلك، يراجع الأطباء تاريخك الطبي الكامل وصور الجذور ثلاثية الأبعاد لضمان خلو الفم من أي أكياس.
بعد ذلك، يجب عليك خلع الأسنان الميؤوس منها تماماً كما يحدده الأخصائي الخبير بصرامة مطلقة وواضحة. بالتالي، ينصحك الأطباء بشدة بتجنب المضغ القاسي تماماً لعدة أسابيع قبل الجلسة لتفادي كسر السن الضعيف.
أهمية التحضير النفسي وتجهيز فترة النقاهة المنزلية
يطلب أطباء الأسنان الالتزام بالهدوء النفسي التام لتقليل مستويات التوتر قبل دخول غرفة الإجراء مباشرة بهدوء. بالتالي، يسهل هذا الإجراء الاحترازي بفعالية عمل الطبيب ويضمن استقرار ضغط الدم للأعضاء الداخلية تماماً وبنجاح.
بالإضافة إلى ذلك، يطلب الأطباء معالجة أي التهابات لثوية موجودة بصراحة تامة لضمان نجاح التركيب بانتظام. لذلك، تشمل التحضيرات الحفاظ على نظام غذائي صحي وترتيب وقت راحة قصير للأيام الأولى للاستشفاء الفموي.
من ناحية أخرى، يحسن الفهم الواضح لمراحل التركيب بشدة من استرخائك ويعزز راحتك الشخصية بالعيادة الفاخرة. بناءً على ذلك، يجب عليك التخطيط لرحلتك بعناية واختيار التقنية الأنسب مع الجراح بالتفصيل الدقيق والممل.
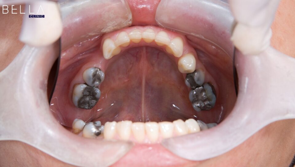
كيف ينفذ الأطباء العملية التجميلية بالتفصيل؟
يساعد فهم الخطوات الدقيقة بشكل كبير على تقليل قلقك الطبيعي قبل بدء مرحلة التخدير الموضعي العميق. عملياً، يمثل التدخل التجميلي تغييراً تشريحياً دقيقاً ومغيراً لشكل العظام وتفاصيل الابتسامة بشكل ملحوظ جداً وجذاب.
إليك بالضبط ما يحدث خلال مراحل الإجراء الخاصة بك داخل العيادة المجهزة بالكامل وبأحدث الأدوات الطبية:
1. التخطيط الدقيق وبدء الخطوات الطبية الأولى
أولاً، يضع الفريق السريري بأمان خطة لون وشكل السن المناسب ويدرس الطبيب هذه الأبعاد على الحاسوب بوضوح. بالتالي، يراجع الأطباء أهدافك بنشاط، ويتأكدون من جاهزيتك التامة لبدء التدخل التجميلي بأمان وثقة تامة مطلقة.
ثانياً، يستخدم الطبيب الخبير بدقة الأدوية المخدرة الموضعية الفعالة للغاية بلطف شديد لضمان استرخائك العميق تماماً. علاوة على ذلك، يريح الأطباء فكك بمهارة تامة بينما تجلس تحت تأثير المخدر بسلام مطلق لتجنب الألم.
2. عملية زراعة الجذور وأخذ الطبعات الرقمية
ثالثاً، يمسك الطبيب السريري بمهارة جهاز الحفر الدقيق جداً ويزرع الجذور التيتانيومية في العظم المصاب. بالإضافة إلى ذلك، يستخدم الطبيب أدوات متطورة لتهيئة المكان المناسب للزرعة بدقة متناهية بعناية فائقة.
رابعاً، يأخذ الأخصائي الخبير بنشاط طبعات رقمية ثلاثية الأبعاد ويرسلها فوراً إلى المختبر لتصميم الغطاء الخزفي بدقة. نتيجة لذلك، يضمن هذا التدخل إبرازاً واضحاً ونظيفاً لتجهيز المساحة المطلوبة لعملية التركيب بوضوح وسلاسة عالية.
3. تركيب الدعامات والتيجان النهائية
خامساً، يضع الطبيب الماهر غطاءً مؤقتاً لحماية الزرعة لعدة أشهر للحصول على أساس متكامل ومثالي للأنظار. بالتالي، يجهز الأطباء التركيبة الدائمة المصنوعة من الزيركون لضمان التناسق الهيكلي الجذاب جداً والشبابي من كافة الجوانب.
سادساً، ينزع الأطباء التاج المؤقت تماماً وينظفون السن الأساسي لتثبيت التركيبات النهائية بأمان كبير جداً ومحكم. هكذا، يثبت الأطباء الجسور الخزفية برفق باستخدام لاصق طبي قوي لتقليل الفراغات وضمان ثبات النتيجة وعودة الوظيفة.
أخيراً، يوجه الفريق الفني بنشاط المريض بلطف ويعطونه مرآة لرؤية النتيجة النهائية بتركيز شديد ومباشر ومريح. يضمن الأطباء تماماً نجاح الخطوات وقد تستغرق خطة العلاج الكاملة من عدة أشهر إلى سنة كلياً.
الجدول الزمني للتعافي والتكيف بعد الإجراء المتقدم
يستغرق التكيف مع التغييرات التشريحية الجديدة وقتاً مخصصاً للحصول على أفضل نتيجة صحية وجمالية مرجوة ومتوقعة للوجه. إليك جدول زمني مفصل للغاية يوضح بالضبط ما يجب أن تتوقعه بخصوص تعافيك الجسدي المتدرج والآمن تماماً.
الأيام الأولى والعودة السريعة للنشاط اليومي
مباشرة بعد انتهاء إجراء الزراعة، سوف تنهض بشكل مريح من الكرسي الطبي لتكمل يومك الخاص في فندقك الهادئ. علاوة على ذلك، يراقب الفريق الطبي بنشاط علاماتك الحيوية بعناية لفترة قصيرة للتعافي الأولي داخل العيادة المجهزة.
بالمقابل، يعتبر الشعور ببعض التورم والانزعاج تجاه المشروبات الباردة أمراً طبيعياً جداً بعد التدخل الطبي السني. لذلك، يطلب منك الأطباء تجنب المضغ القاسي طوال الوقت لمنع تحرك الزرعات وتسريع الشفاء السليم للفك.
بالتالي، يدير فريقنا الطبي الممتاز بكفاءة انزعاجك الجسدي الخفيف من خلال النصائح البسيطة والمسكنات الفعالة طبياً لك.
الأسابيع الأولى ورؤية النتائج الجمالية الأولية
يستمتع مرضى الإجراءات السنية في تركيا عادة بإقامة مريحة وهادئة للغاية في فندقهم المتميز قبل السفر للوطن. لذلك، يجب أن تحافظ بنشاط على نظافة الفم لعدة أيام لدعم المنطقة المعالجة وإظهار الشفاء بشكل صحيح.
علاوة على ذلك، يجب أن تتناول الأطعمة اللينة تماماً وتحافظ على راحتك على مدار الأيام المتتالية للشفاء. بالتالي، يجب عليك الانتباه بنشاط للتأكد من زوال التورم المزعج وتأقلم اللثة بأمان تام حول الجرح.
نتيجة لذلك، يسمح التعافي السريع لمعظم المرضى بالعودة بنشاط إلى أعمالهم اليومية الخفيفة في غضون يوم واحد. من ناحية أخرى، يتلاشى الشعور باختلاف الإطباق بنشاط وبشكل كامل مع مرور الأسابيع الأولى واعتياد فمك.
لضمان بقاء إعادة تأهيل الفم بالكامل في تركيا آمنة تماماً
تؤثر أفعالك اليومية الشخصية في المنزل بشكل مباشر وبشدة على نتائجك الطبية والجمالية النهائية بعد الجلسة السريعة. لذلك، يجب عليك الالتزام الصارم بالنظام الصحي الموصوف من قبل طبيبك المعالج لضمان النجاح التام والمستدام.
أولاً، لضمان بقاء إعادة تأهيل الفم بالكامل في تركيا، يجب أن تتجنب مضغ الأطعمة الصلبة للحفاظ على استقرارها. بالتالي، يحميك هذا الالتزام القوي من مشاكل كسر الخزف أو فشل الزرعة في المستقبل القريب جداً والمزعج.
ثانياً، استخدم فرشاة أسنان ناعمة بصرامة يومياً للحفاظ على نظافة الفم دون إيذاء منطقة اللثة المحيطة بالتيجان. علاوة على ذلك، يجب أن تمتنع بنشاط عن إهمال استخدام جهاز الخيط المائي لتجنب تراكم البلاك المزعج.
ثالثاً، نظف أسفل الجسر السني يومياً للمساعدة في تقليل التهيج الحاصل والحفاظ على النتائج بشكل دائم وصحي. بالإضافة إلى ذلك، يجب أن تبتعد عن التدخين تماماً لتقليل التلف وتسريع الحفاظ على التئام العظم السليم.
رابعاً، التزم بزيارة الطبيب بشكل دوري لتعزيز فحص العظام والأنسجة بشكل خفي وآمن تماماً ومريح للجسم. نتيجة لذلك، تعزز العناية الكافية بنشاط من عملية الاستدامة وتدعم فكك المحيط حديثاً بشكل رائع ومثالي وجذاب.
أخيراً، يعتمد طول العمر السلس والناجح تماماً بعد الإجراء بالكامل على الالتزام الصارم بجميع التعليمات الطبية الدورية. لذلك، يجب عليك التواصل مع الفريق الطبي بجدية لضمان الحصول على أفضل النتائج بأمان واستقرار دائم لسنوات.
المخاطر والآثار الجانبية المحتملة للعملية المتقدمة
تحمل جميع الإجراءات الطبية بطبيعتها بعض الاعتبارات الطبية الدقيقة التي يجب مناقشتها مع طبيبك بصراحة تامة وعلمية. ومع ذلك، تعتبر هذه الإجراءات آمنة للغاية وتتجاوز نسبة نجاحها مستويات عالية عند استخدام تقنيات حديثة ومتطورة باستمرار.
عملياً، قد تنطوي الخطة على بعض المضاعفات النادرة مثل تحسس السن المحضر أو حدوث فشل لبعض الزرعات. من ناحية أخرى، يختبر المرضى أحياناً ألما في منطقة اللثة الطبية بعد العملية مباشرة وتزول بسرعة كبيرة.
مع ذلك، يمتلك الطبيب الخبير المهارة اللازمة لاتخاذ كافة الإجراءات الوقائية لتجنب هذه المخاطر لأدنى درجة ممكنة تماماً. لذلك، يمكن تجنب المضاعفات باختيار طبيب معتمد ذي خبرة واسعة والالتزام الصارم بتعليمات العناية اللاحقة بدقة متناهية.
يقلل الالتزام الدقيق من مخاطر الإجراء الطبي ويضمن شفاءً سريعاً ونتائج ممتازة وتجنب المشكلات المحتملة بنجاح وتفوق. توفر بيلا كلينيك نظام متابعة دقيق ومكثف بعد الجلسة لتقديم الدعم الفوري والإجابة على كافة الاستفسارات الطارئة للجميع.
هذا الاهتمام الخاص يساعد على تحقيق أفضل النتائج الممكنة وتوفير فترة تعافٍ هادئة وآمنة للمريض طوال الوقت. هكذا يطمئن المريض بوجود فريق طبي متكامل يقف بجانبه في كل خطوة من خطوات العلاج والتعافي التام.
تكلفة إعادة تأهيل الفم بالكامل في تركيا مقارنة بالدول الغربية
تعتبر التكلفة في تركيا منخفضة جداً ومغرية للمرضى الدوليين الباحثين عن جودة طبية فائقة ومضمونة للغاية وتنافسية. على سبيل المثال، تتراوح التكلفة الطبية في أمريكا وأوروبا غالباً بمبالغ طائلة للجلسات الشاملة لتعويض الأسنان المفقودة معاً.
بينما تبلغ التكلفة في المملكة المتحدة مبالغ باهظة للإجراء الطبي الدقيق والمهم نفسه تماماً تقريباً للمريض الأوروبي. مع ذلك، توفر العيادات التركية بديلاً اقتصادياً رائعاً دون التضحية بجودة الرعاية الطبية والمواد المتميزة إطلاقاً وعالمياً.
بناءً على ذلك، تقدم تركيا توفيراً مالياً كبيراً يصل إلى 70% مقارنة بالوجهات الأخرى بفضل الدعم المتواصل للاقتصاد. بالتالي، يوفر المريض الذكي الكثير من المال حتى مع احتساب تكلفة تذاكر الطيران الجوية الفاخرة والمريحة للقدوم.
دمج السياحة العلاجية الفاخرة مع رحلتك الطبية
بالإضافة إلى ذلك، تمنحك هذه الرحلة العلاجية فرصة عظيمة لقضاء عطلة سياحية مذهلة واستثنائية جداً ومريحة للأعصاب بالكامل. علاوة على ذلك، يمكنك زيارة معالم إسطنبول الساحرة مثل مضيق البوسفور ومسجد آيا صوفيا العريق براحة بال وسعادة.
نتيجة لذلك، ستحصل على رعاية طبية عالمية المستوى وتجربة سياحية لا تنسى معاً في باقة واحدة ومميزة لك. بالتالي، يضمن هذا النهج الشامل والراقي تحقيق أقصى استفادة ممكنة من ميزانيتك المالية المتاحة تماماً وبسهولة بالغة.
ختاماً، تغطي الباقات الشاملة عادة سعر الزرعات، الجسور، الاستشارات الطبية والإقامة الفندقية الفاخرة بسلاسة تامة وأمان طبي. هكذا تحظى بتجربة متكاملة وخالية من التوتر والقلق المادي طوال فترة إقامتك العلاجية بالكامل في مدينة إسطنبول العريقة.
هل النتائج دائمة وتستمر طويلاً بفعالية؟
يسأل المرضى باستمرار أخصائيينا الخبراء عما إذا كان هذا الترميم السني سيستمر إلى الأبد ويدوم معهم طويلاً بعد الإجراء. عملياً، تتجلى النتائج النهائية فور لصق التيجان، لتكشف عن ابتسامة مكتملة وتعمل تماماً مثل الأسنان الطبيعية بقوة وثبات.
بالتالي، يرى المرضى بنشاط جمال ملامحهم الشابة ظاهرة تماماً خلال الأيام الأولى بوضوح تام وجميل جداً ومستقر للغاية. من الناحية الفنية، يوفر إجراء إعادة تأهيل الفم بالكامل في تركيا تغييراً تشريحياً قوياً لسنوات طويلة بفعالية مطلقة طالما تمت العناية بها جيداً.
علاوة على ذلك، يضع الطبيب هذه المواد الخزفية والزرعات لتصبح جزءاً من الفم بشكل ثابت ومستقر. لذلك، تعتبر النتائج الطبية للتركيب طويلة الأمد بينما قد تحتاج التلبيسات الخارجية للتغيير بعد 15-20 عاماً دون مشاكل معقدة.
ومع ذلك، تعتمد النتائج النهائية والمظهر الجذاب بقوة على استغلالك لهذه الإجراءات كأداة قوية لتعزيز ثقتك بشبابك الدائم. بناءً على ذلك، يتطلب الحفاظ على النتائج كلياً الانتباه إلى أن نظافة الفم تمنع تسوس السن الأساسي تماماً.
بالمقابل، إن نتيجة هذه التركيبات الدقيقة تعتبر استثماراً رائعاً في صحتك بشكل واضح وحقيقي يعيد وظيفة المضغ الطبيعية. لذلك، فإن نجاح العملية على المدى الطويل يعتمد بالكامل على التزامك المستمر بزيارات طبيب الأسنان للحفاظ على المظهر.
بالنهاية، يضمن الحفاظ على روتين صحي استمرارية قوة الأسنان والحفاظ على صحة جيدة ومثالية جداً للفك باستمرار. يمكنك بسهولة الحفاظ على هذا الفم المذهل من خلال المتابعة الطبية المنتظمة وتجنب العوامل التي تسرع التلف والكسر.
أسئلة شائعة يطرحها المرضى عن إعادة تأهيل الفم بالكامل في تركيا
س: كم من الوقت يستغرق إتمام خطة العلاج الشاملة بالكامل داخل العيادة الطبية المتخصصة بأمان؟ ج: تعتمد المدة على الحالة، ولكنها تتراوح عادةً بين ستة أشهر وسنة واحدة لإكمال جميع المراحل بنجاح تام.
س: هل عملية برد الأسنان وزرع الجذور مؤلمة جداً ولا يمكن تحملها في العيادة الطبية أثناء الجلسة؟ ج: لا، ينفذ الأطباء جميع الخطوات تحت التخدير المناسب الفعال، لذلك لن تشعر بأي ألم أثناء الإجراء الجراحي.
س: هل سأبقى بدون أسنان نهائياً خلال فترة العلاج الطويلة والانتظار لشفاء العظم تماماً؟ ج: لا، يركب الطبيب للمريض أسنان مؤقتة وظيفية وجميلة المظهر طوال فترة العلاج ليتمكن من ممارسة حياته.
س: ما هو الفرق الطبي الدقيق بين هذا الإجراء الشامل وبين تصميم ابتسامة هوليوود التجميلية فقط؟ ج: ابتسامة هوليوود تركز أساساً على الجانب الجمالي، بينما الترميم الشامل يعالج المشاكل الوظيفية والصحية والجمالية لكل الأسنان.
س: هل تبدو النتائج النهائية للتركيبات الخزفية طبيعية جداً أم متصنعة ومزيفة للناظرين بوضوح؟ ج: نعم، يصمم الفنيون الأسنان لتبدو طبيعية تماماً وتتناسق مع ملامح وجهك بفضل التقنيات الحديثة والمواد عالية الجودة.
س: هل يمكن تقسيط أو تمويل تكلفة العلاج الشاملة بسهولة داخل العيادات الطبية المعتمدة في تركيا؟ ج: تقدم العديد من العيادات خطط دفع وتسهيلات ممتازة، ويمكنك مناقشة الخيارات المتاحة بكل شفافية أثناء الاستشارة الأولية.
س: كيف أعتني بأسنانى الجديدة تماماً بعد إتمام عملية الترميم الشاملة بنجاح والعودة للمنزل؟ ج: تتطلب التركيبات عناية فائقة بالنظافة اليومية الصارمة وزيارات دورية للطبيب، تماماً مثل الأسنان الطبيعية السليمة والقوية.
لماذا تختار عيادة بيلا لتحولك الجذري والشامل؟
1. باقات كبار الشخصيات الشاملة بالكامل للضيوف الدوليين
تكرس عيادة بيلا جهودها بشدة لتقديم تجربة طبية متميزة وداعمة بالكامل لجميع المرضى الدوليين القادمين لإسطنبول دائماً. علاوة على ذلك، توفر العيادة بسلاسة تجربة غامرة تماماً مباشرة من الاستشارة الأولية وحتى الكشف عن الابتسامة النهائية بالكامل. ينظم الفريق إقامتك بأكملها بشكل مثالي في فنادق شريكة مريحة للغاية وعالية التصنيف عالمياً لتضمن راحتك المطلقة دائماً.
2. استقبال الشخصيات الهامة جداً في المطار مباشرة وبسهولة
لن تضطر أبداً إلى التنقل بعصبية في مدينة أجنبية معقدة بمفردك دون أي مساعدة مسبقة من فريقنا المتخصص والخبير. لذلك، تقدم وسائل النقل الفاخرة لكبار الشخصيات لدينا كفاءة خدمات نقل مجانية تماماً وخاصة من المطار للفندق حصرياً. يدير السائقون بسلاسة جميع تنقلاتك السريرية بشكل لا تشوبه شائبة لضمان أقصى درجات راحتك الفائقة وتجنب التوتر المزعج.
3. دعم الترجمة المخصص للمرضى على مدار الساعة يومياً
يظل التواصل الطبي الواضح أمراً حيوياً للغاية ومطلوباً في جميع الأوقات خلال رحلتك العلاجية الكاملة بتركيا دوماً للتفاهم. بناءً على ذلك، يوفر المركز فريقاً مخصصاً للغاية ومتعدد اللغات لمساعدتك بنشاط طوال فترة إقامتك بأكملها هنا بالمستشفى تماماً. يترجم المرافقون تواصلك الطبي واضحاً تماماً باللغات الإنجليزية والعربية والفرنسية وغيرها دون أي عناء أو خوف من الأطباء.
4. استشارة طبية مجانية ومتخصصة قبل السفر وبعده
يقارن المرضى المهتمون بإجراء إعادة تأهيل الفم بالكامل في تركيا باستمرار بين الخدمات، لذلك تتحدث بثقة إلى نخبة المتخصصين للتقييم. بالتالي، يمنحك الأطباء بنشاط استشارة طبية أولية مفصلة ومجانية لتقييم حالتك تتميز بنصائح متقدمة للمريض الأجنبي القادم لتركيا. يصمم الخبراء بنشاط خطط علاج مخصصة ومصممة خصيصاً لتناسب أهدافك وتطلعاتك الجسدية بالضبط وباحترافية عالية وخبرة واسعة ومتميزة.
5. متابعة طبية دقيقة قبل وبعد الإجراء الجراحي المستمر
تفانينا الطبي العميق لا ينتهي بصرامة بعد إجراءك الشامل أو عند عودتك لبلدك الأم سالماً وبصحة جيدة وممتازة ورائعة. علاوة على ذلك، يضمن المنسقون متابعة دقيقة ومستمرة قبل وأثناء وبعد العملية لضمان راحتك وسلامتك الطبية الدائمة والمستقرة والمضمونة. يبقى فريق النخبة لدينا بسلاسة على اتصال دائم بعد الإجراء الخاص بك مع إرشادات متابعة منتظمة ودقيقة للغاية.
الخلاصة وتجربة المرضى الشاملة والناجحة في بيلا كلينيك
يقدم التدخل الطبي المتقدم فوائد تغير حياة المريض جذرياً وتمنحه الثقة والجمال الذي يستحقه بكل تأكيد وقوة ونشاط ملحوظ. بالتالي، تمنحك هذه الخطوة الفرصة للحصول على الابتسامة المشرقة والشابة التي تعكس حيويتك الداخلية وتزيد من جاذبيتك بقوة مذهلة.
يفخر الأطباء بشكل لا يصدق بمشاركة التجارب المتغيرة للحياة بشكل واضح لبعض مرضانا السعداء الكثيرين بالعيادة المتميزة لدينا. مع ذلك، يحفظ المركز سرية المريض الصارمة كأمر حيوي ومطلوب للغاية في جميع الأوقات داخل عيادة بيلا الطبية الموثوقة. لذلك، يعرض الموقع فقط القصص الملهمة لأولئك الذين منحونا موافقتهم الصريحة والمكتوبة بكرم شديد للغاية وبمحبة كبيرة وصادقة.
يوجه الموظفون خالص شكرهم العميق لهم جميعاً على ثقتهم المطلقة بخدماتنا الطبية الفائقة الجودة والعناية القصوى بالعيادة الفاخرة والنظيفة. علاوة على ذلك، سمح العملاء لنا بكرم بمشاركة قصص نجاحهم المذهلة بفخر واعتزاز كامل مع العالم بأسره لإلهام الآخرين. الآن، يدعوك الفريق بحرارة وترحيب كبير لتكون تحولنا الجميل القادم والنجاح الباهر الذي نفخر بصناعته دائماً وأبداً معنا!
استعد لابتسامة جديدة وحياة أفضل اليوم دون أي تأخير أو تردد في اتخاذ القرار الصائب لاستعادة صحتك السنية تماماً. لذلك، تواصل مع بيلا كلينيك على الفور لحجز استشارتك المجانية واكتشف كيف يمكننا مساعدتك والبدء برحلة التغيير الإيجابي لك. اكتشف بشكل قاطع ما إذا كان الإجراء يمثل الحل الأمثل والأفضل لك ولجمالك المطلق والدائم مدى الحياة السعيدة.

